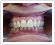
Invisalign
Applied Procedures:
Invisalign
![]() |
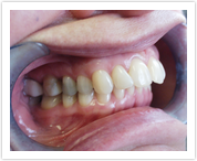
![]() |
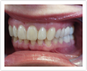
| Before Photo | After Photo |
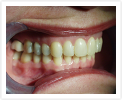
![]() |
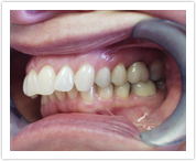
![]() |
| Before Photo | After Photo |
Applied Procedures:
Invisalign
![]() |
![]() |
| Before Photo | After Photo |









